This was developed by Alexander G. Izaguirre & Dr. Anthony Grygotis

 Slide 43C
[Lab 6] [Slides 73] [Slides 25] [Slides 66] [Slides 28] [Slides 16] [Slides 57] [Slides 91] [Slides 43] [Slides 23]
slide_43_3.jpg

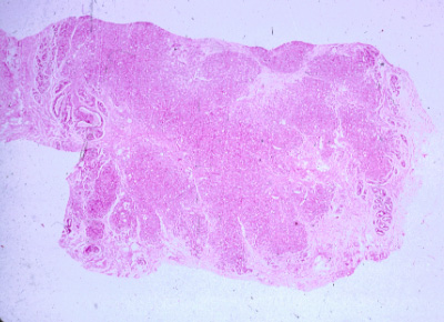
Scanning power of sclerosing adenosis.  Lobular pattern of ductules (acini) is maintained in dense fibrous tissue

[Lab 6] [Slides 73] [Slides 25] [Slides 66] [Slides 28] [Slides 16] [Slides 57] [Slides 91] [Slides 43] [Slides 23]

Pathology Course Menu | Pathology | NJ Med. P.C. | NJMS | Search | UMDNJ

Please direct comments and questions about the Pathology Medical Student pages to izaguial@umdnj.edu Thank You