This was developed by Alexander G. Izaguirre & Dr. Anthony Grygotis

 Slides 66
[Lab 6] [Slides 73] [Slides 25] [Slides 66] [Slides 28] [Slides 16] [Slides 57] [Slides 91] [Slides 43] [Slides 23]

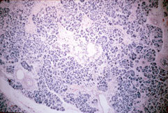
SLIDES 66: PANCREAS

DIABETES MELLITUS

path1_66l_1.jpg
path1_66l_2.jpg
path1_66l_3.jpg

A. Low power overview shows preservation of the architecture but hyaline (amyloid) replacement of islets and hyaline thickening of arterioles

B. Higher power to show the islets containing pink, hyaline deposits partially replacing the islet cells

C. High power.  There is compression and partial disappearance of the islet cells.

Previous                                        Next

[Lab 6] [Slides 73] [Slides 25] [Slides 66] [Slides 28] [Slides 16] [Slides 57] [Slides 91] [Slides 43] [Slides 23]

Pathology Course Menu | Pathology | NJ Med. P.C. | NJMS | Search | UMDNJ

Please direct comments and questions about the Pathology Medical Student pages to izaguial@umdnj.edu Thank You